Pendulum

 

Besonders bei Platzmangel im Oberkiefer lässt sich durch den Einsatz eines Pendulums oftmals die Extraktion mehrerer bleibender Zähne vermeiden!!

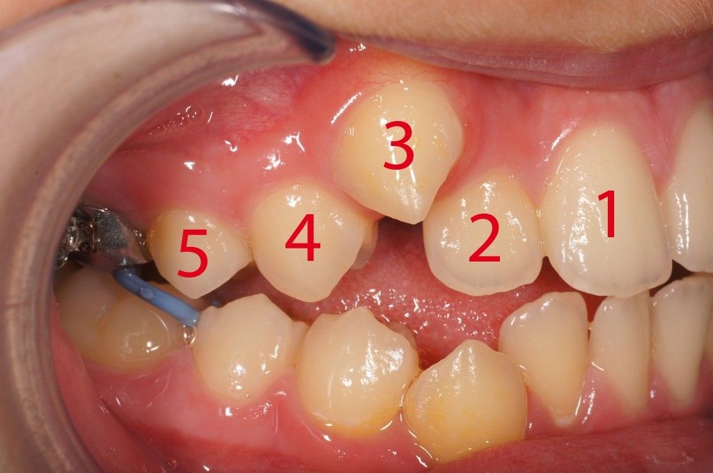
Hierbei wird auf einen Backenzahn ein Band aufgesetzt und über eine Feder die Bewegung des Backenzahnes nach distal (hinten) bewirkt.



 
20

Platzmangel im Oberkiefer

Beneslider

Es gibt eine Alternative:

- mit Miniimplantaten und dem Distalslider und wird ebenfalls Platzschaffung ermöglicht
 
Hierzu werden Minipins in den Gaumen eingesetzt.
Auf diesen wird eine Apparatur befestigt, die die Seitenzähne nach vorne (mesial) oder nach hinten (distal) bewegt . Somit können z.B. nach einem Unfall ausgeschlagene Frontzähne durch eigene Zähne ersetzt werden, indem man hintere Zähne in die Lücke bewegt.
Bei Nichtanlagen von eigenen Zähnen können ebenfalls die Lücken durch eigene Zähne geschlossen werden. Alternativ können bei Platzmangel aufgewanderte Zähne wieder in eine Reihe gestellt werden.


 
17

Nicht angelegte seitliche Schneidezähne

Frontzahntrauma - Sturz im Schwimmbad

 
zurück nach oben
realisiert von Blickfang Grafikdesign mit editly.